Sports Medicine

Treatment and rehabilitation of lameness
Lameness is one of the main causes of premature interruption in the sporting life of horses. At EquiSportMed, we carry out a comprehensive diagnostic and treatment protocol which includes:
Full clinical evaluation
We identify the underlying cause through physical inspection and detailed anamnesis.
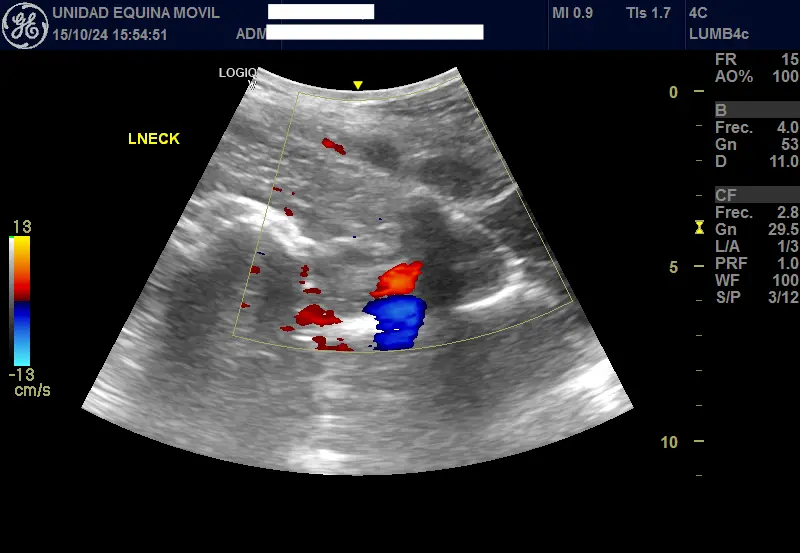
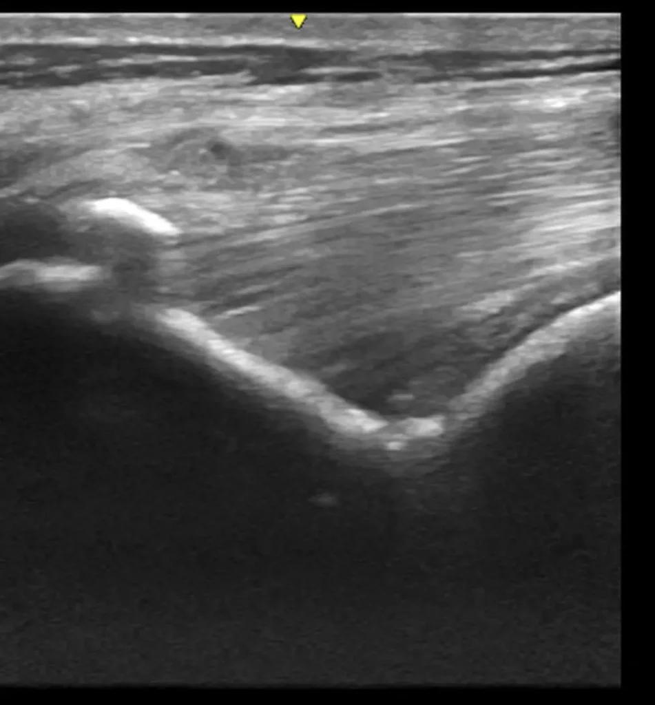
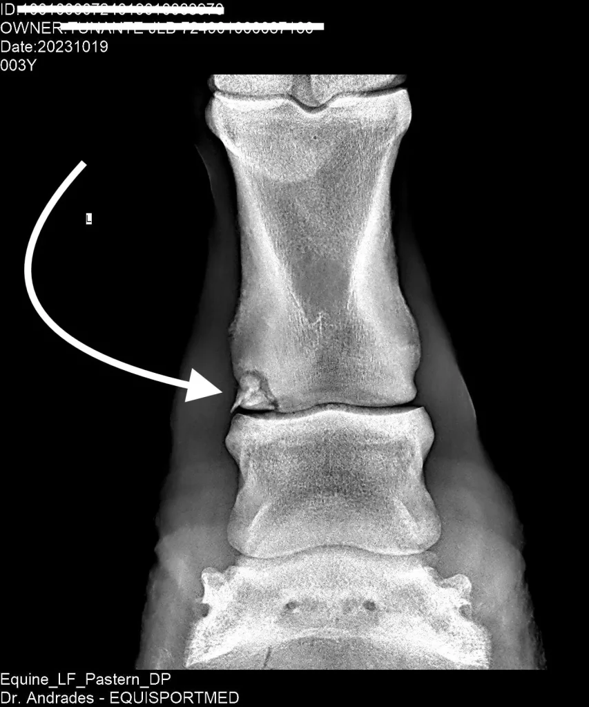
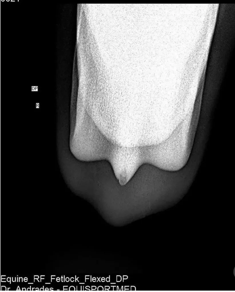
Advanced Diagnostic Imaging
We carry out diagnostic tests such as scintigraphy, magnetic resonance imaging, among others, in collaboration with equine veterinary hospitals.
Specialised treatments
- Shock waves (ESWT).
- Laser therapy.
- Diathermy techniques / Indiba.
- Advanced pharmacological therapies such as Tiludronate (Tildren), Osphos and Pentosal.
- And much more.

Regenerative therapies
In recent years, regenerative therapies have revolutionised equine medicine, allowing for faster and more effective recovery from injuries. At EquiSportMed, we offer:

Decreased sporting performance
Detecting and treating reduced sporting performance is key to preventing serious injury and optimising the health of the horse. Our approach includes:
